Who is Jason Smithson?
At Revitalise Dental Centre we encourage everyone to look after their teeth to maintain their health, appearance and function. No one wants to lose their teeth, but sometimes this is unavoidable. However, sometimes people with healthy teeth and gums just want to improve their smile. This is where our cosmetic dentist Jason Smithson thrives.
Jason is recognised as one of the leading cosmetic dentists in the world. Many people, including dentists from all over the UK, visit Jason for treatment: he is often referred to as the “Dentist’s Dentist”. Commonly dentists are seen as the doctors of the mouth however Jason is more than that, he is an artist. Jason’s position in the industry led him to be voted in the Top 20 Most Influential Dentists in 2011.


In 1995 Jason qualified from the Royal London Hospital where he picked up multiple awards. These awards include;
- The Constance Klein Memorial
- The Stafford Millar Award
- The Malcolm Jenkins Scholarship
- The American Association of Endodontics Prize
- The Overall Award for Clinical Dentistry
Upon qualifying Jason would go on to work in an oral surgery in London for three years. He would then spend a further year in London practicing restorative dentistry in London’s Harley Street Medical District. Later relocating to Cornwall, where he still resides as a cosmetic dentist at Revitalise Dental Centre. Jason has a special interest in direct composite resin artistry and minimally invasive all ceramic restorations.
Jason Smithson as a lecturer and presenter
Jason’s talents and knowledge are sought after not only in the UK, but also overseas: this has resulted in Jason presenting lectures and demonstrations to dentists in USA, Canada, Australia, New Zealand and across Europe. Jason is considered an expert in the dental industry by his peers and continues to present educational courses to both dental students and qualified dentists.
This year will see Jason traveling to the likes of the Phillipians, Thailand and Australia, in addition to multiple venues across the UK and Europe. With a desire to share his knowledge to aspiring dentists he is also a post-Graduate Clinical Lecturer.
Jason Smithson’s Other Achievements
Jason achieved Diplomat Status in Restorative Dentistry from the Royal College of Surgeons of England: this is an advanced examination for qualified dentists.
He has published a number of articles in the UK and overseas: many of his articles have been translated into different languages; Including his article; Smart Strategies for Tough Economic Times (2010), which has been translated into 9 different languages.
Jason is the author of multiple books released both in print and digital. He is the joint author of the book ‘Fixed Prosthesis With Vertical Margin Closure: A Rational Approach To Clinical Treatment And Laboratory Procedures’ (2019). in collaboration with Ezio Bruna and Andrea Fabianelli.
What is cosmetic dentistry?


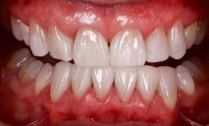
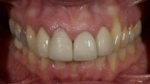
People who want to ‘improve their smile’ can achieve this through cosmetic dentistry: cosmetic dentistry focuses on the appearance of your teeth, whilst ensuring their long-term health.
Here at Revitalise Dental Care we offer multiple cosmetic treatments such as direct bonding, crowns, veneers and teeth whitening: Jason is our lead dentist for cosmetic treatment and advanced adhesive dentistry, with a special interest in modern tooth-coloured bonding techniques. Jason works very closely with our team who offer dental implants, orthodontics and hygiene treatments.
Cosmetic Services We Offer
Here at Revitalise we offer multiple cosmetic services: but why should you choose us? With Jason Smithson, we have one of the most in-demand dentists in the world to treat you.
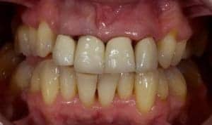
Direct Bonding
If you have a tooth that is broken composite resin can be an ideal solution to repair it: restoring the function, shape and appearance, composite resin can be bonded seamlessly to your natural enamel, often without any drilling of the remaining tooth.
The bonding process is quite simple: Jason will select composite that exactly matches the colour of your teeth; he often custom mixes multiple shades to gain a perfect result. Your natural tooth will then be primed and coated with a liquid (similar to a glue) to prepare the tooth for bonding. The composite resin is then built up in multiple layers to replicate the desired shape and colour. The tooth and composite resin are then artistically shaped to bring the restoration to life with natural life-like textures.
Finally the composite will be hardened using an ultraviolet light meaning you can eat with them immediately. If necessary, the composite resin might be further contoured once hardened to ensure it is indistinguishable from a natural tooth.
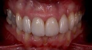
Veneers / Crowns
If you are hoping to change the colour or orientation of your teeth, veneers and crowns can make this possible. A veneer uses a thin shell of ceramic that is bonded to the front of your teeth. Think about how a false fingernail sits on top of the natural nail: It’s a similar idea.
Crowns cover the whole surface of the tooth: so support the natural tooth foundation: this is more appropriate for saving heavily broken down teeth.
A strong adhesive will be used to bond the ceramic shell of the veneer or crown to your natural teeth: this gives a long-term durable result, which looks natural, life-like and beautiful.


Teeth Whitening
Teeth Whitening is becoming more and more popular. At Revitalise Dental Centre we use a whitening gel to predictably lighten the tooth. The procedure is non-invasive and is a great way to brighten your smile.
Find Out More
If you are looking to have cosmetic dentistry than look no further. At Revitalise you have the opportunity to be treated by one of the most sought after cosmetic dentists in the world.
If you would like to speak to Jason or any of the staff at Revitalise about improving your smile with cosmetic dentistry in Cornwall call us now to arrange an initial consultation.